Understanding The Batwing Appearance In Radiology

D.Consentmo 104 views
Understanding The Batwing Appearance In Radiology

Understanding the Batwing Appearance in Radiology

Hey everyone! Today, we’re diving deep into a fascinating radiological sign that pops up every now and then: the batwing appearance . You might have heard this term thrown around in medical imaging reports, and if you’re not in the know, it can sound a bit peculiar, right? But trust me, guys, it’s a really important clue for radiologists and doctors trying to figure out what’s going on inside a patient’s chest. We’re going to break down exactly what this means, why it happens, and what conditions it can point towards. So, buckle up, and let’s get our radiology hats on!

What Exactly IS the Batwing Appearance?

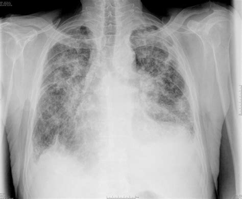
So, when we talk about the batwing appearance in radiology , we’re primarily referring to a specific pattern seen on a chest X-ray or CT scan. Imagine a bat spreading its wings – that’s kind of the shape we’re looking for. This pattern typically shows increased opacity, meaning it looks whiter and denser than normal lung tissue, predominantly in the central areas of both lungs. These opacities often radiate outwards from the hilum, which is the central part of the lung where blood vessels and airways enter and exit, giving it that characteristic wing-like spread. It’s like a shadow that’s thicker near the middle and thins out as it goes towards the edges of the lungs. This distribution is key; it’s not a random smattering of white spots but a more organized, symmetrical pattern. The central location and outward spread are what make radiologists sit up and take notice. It’s a visual cue that something is happening in those specific parts of the lungs. Think of it as the lungs trying to tell us a story, and the batwing appearance is a significant chapter in that story. The symmetry is often emphasized, meaning both lungs tend to show this pattern to a similar degree, though variations can occur. This bilateral and central distribution helps differentiate it from other lung abnormalities that might be more peripheral or asymmetrical. It’s a pattern that radiologists are trained to spot, and once seen, it prompts further investigation into its underlying cause. The density can vary, from subtle haziness to more pronounced white areas, but the core pattern of central, radiating opacity remains the hallmark.

Why Does This Pattern Show Up? The Underlying Causes

The batwing appearance in radiology isn’t just a random finding; it’s a symptom of various underlying conditions, most commonly related to fluid buildup in the lungs. The most classic culprit is pulmonary edema , which is essentially excess fluid in the lung tissue. When the heart isn’t pumping efficiently (think heart failure), fluid can back up into the lungs. This fluid tends to accumulate first in the most dependent and well-perfused parts of the lungs, which are often the central areas near the hilum. Another major player is acute respiratory distress syndrome (ARDS) . ARDS is a severe lung condition where fluid leaks into the tiny air sacs (alveoli) of the lungs, making it hard to breathe. The widespread inflammation and leakage in ARDS can also lead to this characteristic central opacity. Pneumonia, especially certain types like viral or atypical pneumonia, can sometimes present with a batwing pattern. The infection causes inflammation and fluid in the airspaces, and if it affects the central lung regions symmetrically, it can mimic this appearance. Certain rarer conditions, like pulmonary hemorrhage (bleeding into the lungs) or even some forms of interstitial lung disease, might also contribute to a batwing pattern, though these are less common associations. It’s crucial to remember that the batwing appearance is a description of a pattern, not a diagnosis in itself. It’s like seeing smoke – you know there’s a fire somewhere, but you need to investigate to find out exactly where and why. The radiologists look at this pattern and then correlate it with the patient’s symptoms, medical history, and other clinical findings to arrive at a specific diagnosis. The distribution points to a process that is affecting the lung interstitium and alveolar spaces in a diffuse, yet centrally predominant, manner. This can be due to increased hydrostatic pressure (as in heart failure), increased permeability of the alveolar-capillary membrane (as in ARDS or severe pneumonia), or direct injury to the lung tissue. The symmetry often suggests a systemic cause or a process affecting both lungs equally from the outset, rather than a localized injury or infection.

Pulmonary Edema and the Batwing Sign: A Classic Connection

When radiologists see that distinct batwing appearance in radiology , one of the first things that often springs to mind is pulmonary edema , particularly cardiogenic pulmonary edema. This is when fluid leaks out of the blood vessels and into the air sacs and tissues of the lungs, usually because the heart isn’t pumping blood effectively. In cases of heart failure, the pressure in the blood vessels of the lungs increases, pushing fluid out. This fluid tends to accumulate preferentially in the central and lower portions of the lungs, areas that are generally more well-perfused and have higher pressures. The resulting opacities on the X-ray or CT scan can form that classic batwing shape, with the densest areas hugging the heart and major airways, and tapering off towards the periphery. It’s like the lungs are getting waterlogged, and the water spreads out from the central plumbing. It’s a really common scenario, and seeing the batwing pattern strongly suggests this diagnosis, especially if the patient presents with symptoms like shortness of breath, coughing up pink, frothy sputum, or swelling in their legs. The symmetry of the batwing appearance is also characteristic of cardiogenic edema, as the increased pressure affects both lungs relatively equally. While other causes of edema exist, the heart-related kind is the most frequent association with this specific radiological pattern. This connection is so strong that the term